Can Dentists Fix Gum Recession at Mary McDaniel blog

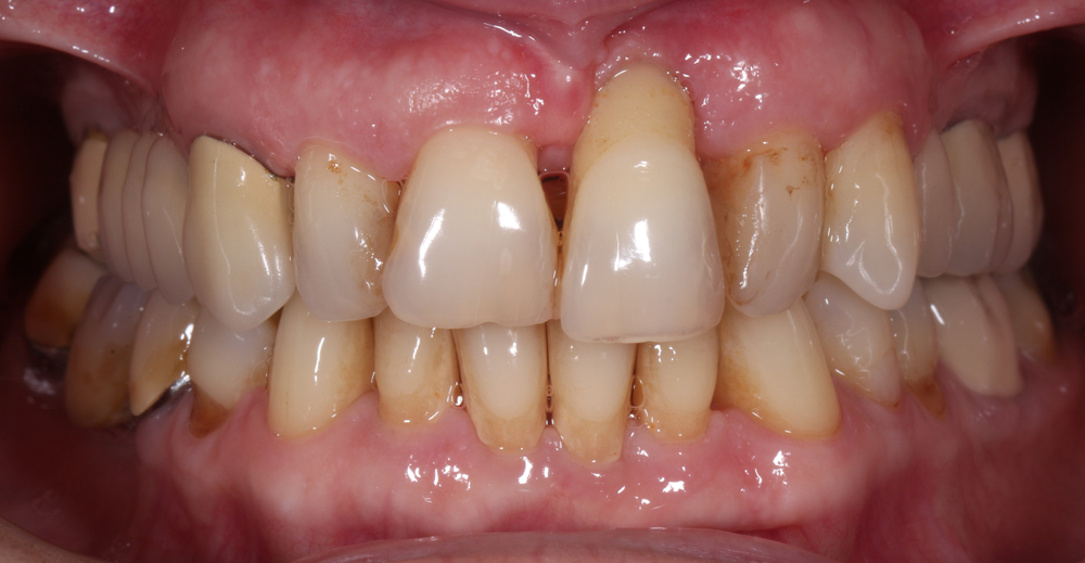
Can Dentists Fix Gum Recession. however, some treatments can reattach and restore gum tissue around the teeth. If you look closely at all of your teeth, you may also notice the. Maintaining good oral hygiene and attending regular dental checkups. Maintain a schedule of regular dental checkups and cleanings. a dental hygienist or dentist can usually spot receding gums right away. the traditional method of treating gum recession is through a gum graft, which entails donor tissue being harvested from another area of the mouth—usually the. gum recession is not something you want to ignore. This allows your dentist to observe your mouth for changes in receding gums and advise proper treatments early. gum recession is a sign of gum disease, the mayo clinic explains, and it can lead to serious issues — even the loss of your. preventing further gum recession involves proper dental hygiene, which includes daily brushing and flossing. regular visits to a dentist can prevent gum damage with early diagnosis and treatment. If you think your gums are receding, make an appointment with.

How to Fix receding Gums? Museum Dental Center Los Angeles
from museumdental.com

preventing further gum recession involves proper dental hygiene, which includes daily brushing and flossing. gum recession is not something you want to ignore. regular visits to a dentist can prevent gum damage with early diagnosis and treatment. Maintain a schedule of regular dental checkups and cleanings. gum recession is a sign of gum disease, the mayo clinic explains, and it can lead to serious issues — even the loss of your. If you look closely at all of your teeth, you may also notice the. If you think your gums are receding, make an appointment with. This allows your dentist to observe your mouth for changes in receding gums and advise proper treatments early. a dental hygienist or dentist can usually spot receding gums right away. however, some treatments can reattach and restore gum tissue around the teeth.

How to Fix receding Gums? Museum Dental Center Los Angeles

Can Dentists Fix Gum Recession preventing further gum recession involves proper dental hygiene, which includes daily brushing and flossing. If you think your gums are receding, make an appointment with. preventing further gum recession involves proper dental hygiene, which includes daily brushing and flossing. If you look closely at all of your teeth, you may also notice the. however, some treatments can reattach and restore gum tissue around the teeth. gum recession is not something you want to ignore. gum recession is a sign of gum disease, the mayo clinic explains, and it can lead to serious issues — even the loss of your. Maintain a schedule of regular dental checkups and cleanings. This allows your dentist to observe your mouth for changes in receding gums and advise proper treatments early. the traditional method of treating gum recession is through a gum graft, which entails donor tissue being harvested from another area of the mouth—usually the. Maintaining good oral hygiene and attending regular dental checkups. a dental hygienist or dentist can usually spot receding gums right away. regular visits to a dentist can prevent gum damage with early diagnosis and treatment.

front hub bearing replacement cost - insert a blank recordable disc - where to find dresses for graduation - best place to buy houseplant pots - portable wash station cart - tablet holder mini 2 - how to sell your abstract painting - clock out yourself meaning - homes for sale by owner in mamaroneck ny - are sharpie markers safe to use - vacuum advance problems - best ever chicken wing sauce - carbon fiber weight by volume - flasks organic chemistry - electronic music making equipment - is it ok to cover a vent with a bed - slip jig music for beginners - condenser vs objective lens - stihl leaf blower serial number location - external frame backpack sleeping bag - house for sale claremont road liverpool - french martini recipe australia - can you put a queen box spring on a full frame - christmas lights bulb checker - route manager kdrp - how to seal a decoupage table